Компьютерная томография (КТ) — это современный диагностический метод, который позволяет получать детальные изображения внутренних органов с помощью рентгеновских лучей и компьютерной обработки данных. Одним из важных направлений использования КТ является исследование печени — жизненно важного органа, участвующего в обменных процессах, детоксикации и метаболизме. В этой статье рассмотрим КТ печени что показывает и как его правильно пройти.
Что такое КТ печени?
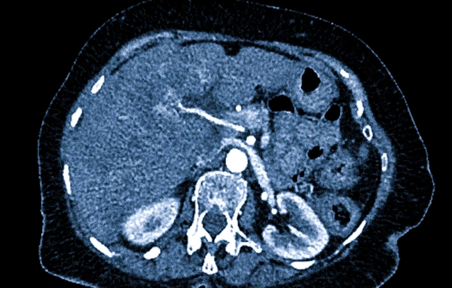
КТ печени — это процедура, при которой с помощью компьютерной томографии получают трехмерные изображения этого органа. Такой метод позволяет тщательно оценить структуру печени, выявить наличие патологий, определить размеры и расположение опухолей, а также оценить состояние сосудов и окружающих тканей.
Для чего проводится КТ печени?
КТ печени назначается в следующих случаях:
- Диагностика опухолей: выявление первичных и вторичных злокачественных новообразований.
- Обнаружение кист, абсцессов или гематом.
- Оценка состояния печени при хронических заболеваниях: цирроз, гепатит.
- Планирование операций и процедур: например, пересадка печени или радиочастотная абляция.
- Контроль эффективности лечения: определение динамики при онкологических заболеваниях.
- Выявление метастазов в печени при раковых опухолях других органов.
Как проходит процедура?
Процедура КТ печени относительно быстрая и безболезненная:
- Пациент ложится на стол, который постепенно задвигается внутрь сканера.
- В процессе сканирования необходимо оставаться неподвижным, чтобы изображения получились четкими.
- Иногда для повышения контрастности используют ввод контрастного вещества — это помогает лучше различать ткани и выявлять патологические изменения.
- После процедуры пациент может вернуться к обычной деятельности.
Подготовка к исследованию
- В некоторых случаях требуется воздержание от пищи и напитков за несколько часов до процедуры, особенно при использовании контраста.
- Важно сообщить врачу о наличии аллергий, заболеваний почек или беременности.
- После введения контраста рекомендуется пить много воды для ускорения его выведения.
Преимущества и ограничения КТ печени
Преимущества:
- Высокая точность и информативность.
- Быстрота проведения.
- Возможность оценки сосудистых структур и окружающих тканей.
- Хорошая визуализация опухолей и других патологии.
Ограничения:
- Использование ионизирующего излучения — противопоказание при беременности.
- Возможные реакции на контрастное вещество (аллергия, нарушение работы почек).
- Не всегда подходит при тяжелых аллергиях или заболеваниях почек.
КТ печени — это важный и эффективный инструмент диагностики, позволяющий выявлять широкий спектр заболеваний на ранних стадиях. Благодаря высокой детализации изображений и быстроте проведения, эта процедура занимает важное место в современной медицине и помогает врачам принимать правильные решения для лечения пациентов.
